Aortic Stenosis Stages Regurgitation mitral diastolic aortic stenosis echocardiography mr severe due wikidoc

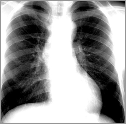
Aortic stenosis chest x ray

If you are searching about Aortic Stenosis | Thoracic Key you've came to the right web. We have 17 Images about Aortic Stenosis | Thoracic Key like Echocardiography of Aortic stenosis, Medical Powerpoint Slides: Aortic Stenosis and also File:Angiography image indicating Supravalvular aortic stenosis.jpg. Here it is:

Aortic Stenosis | Thoracic Key

Aortic Stenosis | Thoracic Key thoracickey.com

aortic stenosis rheumatic causes thoracic key figure

Cardiac Review-2012

Cardiac Review-2012 www.learningradiology.com

cardiac

Mitral Regurgitation Echocardiography - Wikidoc

Mitral regurgitation echocardiography - wikidoc www.wikidoc.org

regurgitation mitral diastolic aortic stenosis echocardiography mr severe due wikidoc

File:Angiography Image Indicating Supravalvular Aortic Stenosis.jpg

File:Angiography image indicating Supravalvular aortic stenosis.jpg embryology.med.unsw.edu.au

stenosis aortic angiography supravalvular file indicating aorta embryology coronary syndrome left catheter vessels cine william rca artery ventricular mohan labelled

Echocardiography Findings In Common Primary And Secondary

Echocardiography Findings in Common Primary and Secondary www.intechopen.com

findings echocardiography common cardiomyopathies secondary primary intechopen figure books

Aortic Stenosis - Congenital & Children's Heart Centre

Aortic Stenosis - Congenital & Children's Heart Centre www.childrensheartcentre.com

stenosis aortic

Mitral Valve Clip

Mitral Valve Clip medmovie.com

valve mitral regurgitation heart aortic tricuspid valves pulmonary clip four topics medmovie cvml

Aortic Stenosis

Aortic Stenosis www.smartdraw.com

aortic stenosis

Congenital Heart Disorders – Disorders With Obstruction To Blood Flow

Congenital Heart Disorders – Disorders with Obstruction to Blood Flow nursingcrib.com

aortic stenosis heart congenital obstruction disorders flow blood valve defects defect anatomy

Aortic Regurgitation – A Leaky Aortic Valve • MyHeart

Aortic Regurgitation – A Leaky Aortic Valve • MyHeart myheart.net

aortic regurgitation valve leaky moderate echocardiogram heart leak leaking example jet myheart represents blood colorful going left right

Monitoring The Biological Activity Of Abdominal Aortic Aneurysms Beyond

Monitoring the biological activity of abdominal aortic aneurysms Beyond heart.bmj.com

aortic abdominal monitoring aneurysms disease heart ultrasound biological activity figure open bmj

Figure 1 From Aortic Stenosis: Diagnosis And Management. | Semantic Scholar

Figure 1 from Aortic stenosis: diagnosis and management. | Semantic Scholar www.semanticscholar.org

stenosis aortic

Best 25+ Aortic Stenosis Ideas On Pinterest | Cardiac Nursing, Cardiac

Best 25+ Aortic stenosis ideas on Pinterest | Cardiac nursing, Cardiac www.pinterest.ca

aortic stenosis valve heart congenital regurgitation aorta murmur nursing

Aortic Stenosis Chest X Ray - Wikidoc

Aortic stenosis chest x ray - wikidoc wikidoc.org

ray chest aortic stenosis hypertrophy ventricular left cxr lvh calcification wikidoc hypertension failure heart bicuspid medbullets lecture radiology notes

Echocardiography Of Aortic Stenosis

Echocardiography of Aortic stenosis www.slideshare.net

aortic stenosis echocardiography

Heart Sounds Aortic Stenosis Vs Aortic Regurgitation - YouTube

Heart Sounds Aortic Stenosis vs Aortic Regurgitation - YouTube www.youtube.com

aortic stenosis regurgitation vs

Medical Powerpoint Slides: Aortic Stenosis

Medical Powerpoint Slides: Aortic Stenosis medicalslide.blogspot.com

aortic stenosis

Aortic stenosis regurgitation vs. Echocardiography findings in common primary and secondary. Aortic regurgitation valve leaky moderate echocardiogram heart leak leaking example jet myheart represents blood colorful going left right