Mitral Stenosis Gradient Echo Mitral valve disease

Echocardiographic assessment of ischemic mitral regurgitation

If you are searching about Mitral Valve Disease | Thoracic Key you've came to the right place. We have 17 Pictures about Mitral Valve Disease | Thoracic Key like Echo Mv Area By Pressure Half Time - Echocardiography, ummara shares: GRADING OF SEVERITY OF MITRAL STENOSIS and also Cardiology Blog: Cardiology Case Scenario - Mitral Stenosis. Here it is:

Mitral Valve Disease | Thoracic Key

Mitral Valve Disease | Thoracic Key thoracickey.com

mitral valve stenosis echocardiogram rheumatic disease thoracickey

Echocardiographic Evaluation Of Mitral Geometry In Functional Mitral

Echocardiographic evaluation of mitral geometry in functional mitral cardiothoracicsurgery.biomedcentral.com

mitral regurgitation echocardiographic ero severity contracta vena evaluation geometry

Mitral Valve Disease | Thoracic Key

Mitral Valve Disease | Thoracic Key thoracickey.com

mitral valve disease mode stenosis rheumatic practice test atrial quiz proprofs thoracickey start

Paradoxical Low-flow, Low-gradient Severe Aortic Stenosis: A Distinct

Paradoxical low-flow, low-gradient severe aortic stenosis: a distinct heart.bmj.com

paradoxical aortic stenosis lflg

Valvular Disease Flashcards | Easy Notecards

Valvular Disease Flashcards | Easy Notecards www.easynotecards.com

pressure half measurement valvular disease take

EAE/ASE Guidelines For The Diagnosis Of Mitral Stenosis

EAE/ASE Guidelines for the Diagnosis of Mitral Stenosis mkardiologia2-78.blogspot.com

mitral stenosis valve planimetry eae ase

Mitral Stenosis - The Lancet

Mitral stenosis - The Lancet www.thelancet.com

mitral stenosis subvalvular gr2

Echocardiographic Assessment Of Valve Stenosis: EAE/ASE Recommendations

Echocardiographic Assessment of Valve Stenosis: EAE/ASE Recommendations www.onlinejase.com

Echo Mv Area By Pressure Half Time - Echocardiography

Echo Mv Area By Pressure Half Time - Echocardiography www.barnardhealth.us

mitral valve area pressure half planimetry stenosis echo echocardiography mva mv dimensional fig measuring duration barnardhealth

Degenerative Mitral Valve Disease With Emphasis On Mitral Valve

Degenerative mitral valve disease with emphasis on mitral valve heart.bmj.com

heart mitral valve degenerative disease echo figure prolapse

Cardiology Blog: Cardiology Case Scenario - Mitral Stenosis

Cardiology Blog: Cardiology Case Scenario - Mitral Stenosis jitesharora.blogspot.com

stenosis mitral case cardiology echo reveals patient isolated 2d

Understanding The Role Of Echocardiography In The Assessment Of Mitral

Understanding the role of echocardiography in the assessment of mitral www.escardio.org

mitral valve echocardiography assessment echo mv 3d understanding disease role quantitative axis planimetry 2d short escardio

Imaging In Hypertrophic Cardiomyopathy - American College Of Cardiology

Imaging in Hypertrophic Cardiomyopathy - American College of Cardiology www.acc.org

hypertrophic cardiomyopathy imaging cardiology mitral valve figure mode sam

Echo Mv Area By Pressure Half Time - Echocardiography

Echo Mv Area By Pressure Half Time - Echocardiography www.barnardhealth.us

mitral stenosis pressure half pht echo echocardiography moderate mild mv area severe valve ms cardiac aortic fig categorized then barnardhealth

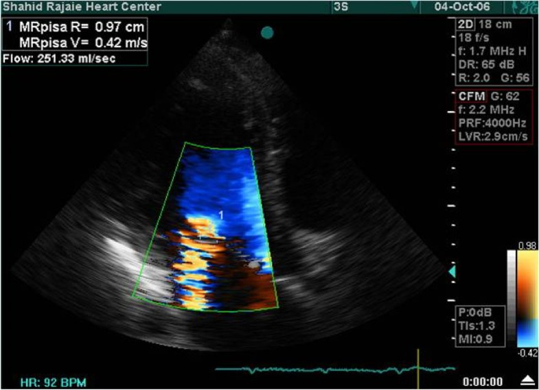
Echocardiographic Assessment Of Ischemic Mitral Regurgitation

Echocardiographic assessment of ischemic mitral regurgitation cardiovascularultrasound.biomedcentral.com

atrial mitral regurgitation distal quantification maximal echocardiographic ischemic vein pulmonary

PDA, Valvular Aortic Stenosis, Valvular Pulmonic Stenosis And Mitral

PDA, Valvular Aortic Stenosis, Valvular Pulmonic Stenosis and Mitral www.sonopath.com

pda gradient mitral stenosis cw flow pressure normal across dysplasia aortic sonopath case valvular recent

Ummara Shares: GRADING OF SEVERITY OF MITRAL STENOSIS

ummara shares: GRADING OF SEVERITY OF MITRAL STENOSIS ummarashares.blogspot.com

mitral stenosis severity

Mitral valve stenosis echocardiogram rheumatic disease thoracickey. Mitral valve disease. Pda, valvular aortic stenosis, valvular pulmonic stenosis and mitral