mitral valve stenosis echopedia Mitral valve stenosis

Pin on cardiology & sonography

If you are looking for Mitral stenosis: MedlinePlus Medical Encyclopedia you've came to the right place. We have 9 Pics about Mitral stenosis: MedlinePlus Medical Encyclopedia like Mitral stenosis: MedlinePlus Medical Encyclopedia, Mitral Valve Stenosis | Nursing school! | Pinterest and also Case 163 - Echopedia. Here it is:

Mitral Stenosis: MedlinePlus Medical Encyclopedia

Mitral stenosis: MedlinePlus Medical Encyclopedia medlineplus.gov

mitral stenosis valve medlineplus ency medical

Mitral Valve (3 Of 3): Classification Of Valve Stenosis And

Mitral valve (3 of 3): Classification of valve stenosis and www.pinterest.com

valve mitral regurgitation stenosis classification

Mitral Valve Stenosis | Nursing School! | Pinterest

Mitral Valve Stenosis | Nursing school! | Pinterest pinterest.com

mitral valve stenosis nursing murmur pulmonary aortic cardiac ics heart diastolic mid iv normal enlargment dyspnea fib overload fatigue orthopnea

Tricuspid Valve: Classification Of Valve Stenosis And Regurgitation

Tricuspid valve: Classification of valve stenosis and regurgitation www.pinterest.com.mx

tricuspid regurgitation stenosis medizin atrial defect septal asd

Tricuspid - Echopedia

Tricuspid - Echopedia www.echopedia.org

plax tricuspid echopedia tilted

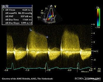
Case 163 - Echopedia

Case 163 - Echopedia www.echopedia.org

aortic regurgitation severe doppler continuous wave signal case bicuspid valve file

Pin On Cardiology & Sonography

Pin on Cardiology & Sonography www.pinterest.com

mitral valve stenosis regurgitation classification tricuspid cardiology aortic heart valves

Tricuspid Valve: Classification Of Valve Stenosis And Regurgitation

Tricuspid valve: Classification of valve stenosis and regurgitation www.pinterest.com.mx

tricuspid regurgitation stenosis ultrasound sonography septal atrial defect

Parasternal Short Axis - Echopedia

Parasternal short axis - Echopedia www.echopedia.org

parasternal echopedia transection structures

Mitral valve stenosis. Mitral valve stenosis regurgitation classification tricuspid cardiology aortic heart valves. Tricuspid regurgitation stenosis ultrasound sonography septal atrial defect