Valve Prosthesis Evaluation of prosthetic valve function and clinical utility.

Valve aortic replacement science

If you are searching about Doppler echocardiographic evaluation of prosthetic valve function | Heart you've came to the right place. We have 18 Images about Doppler echocardiographic evaluation of prosthetic valve function | Heart like Prosthetic valve thrombosis: Time is critical - For Medical, 1.4 Bioeffects of Ultrasound | 123 Sonography and also 1.4 Bioeffects of Ultrasound | 123 Sonography. Here it is:

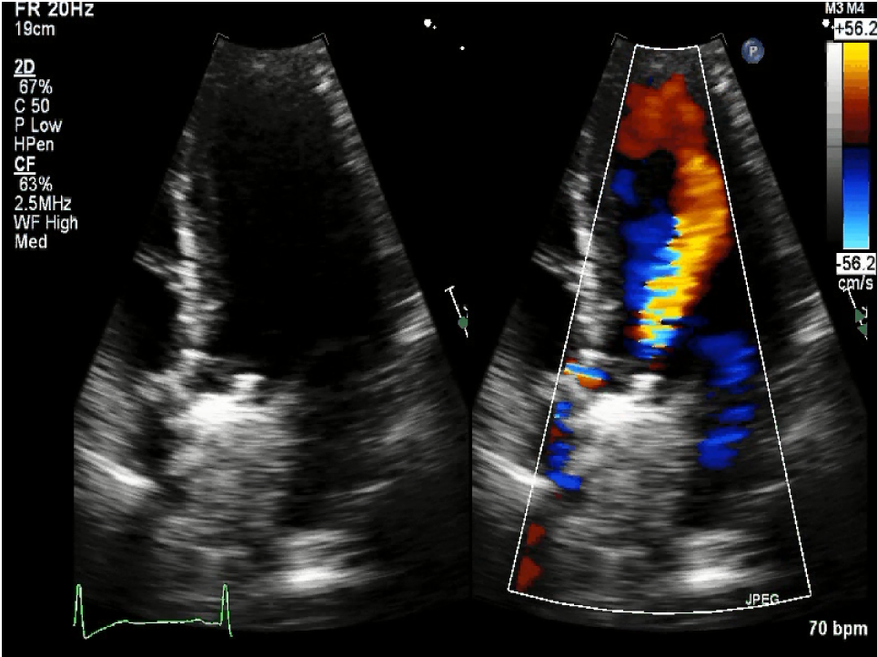
Doppler Echocardiographic Evaluation Of Prosthetic Valve Function | Heart

Doppler echocardiographic evaluation of prosthetic valve function | Heart heart.bmj.com

valve prosthetic heart figure doppler bmj

1.4 Bioeffects Of Ultrasound | 123 Sonography

1.4 Bioeffects of Ultrasound | 123 Sonography www.123sonography.com

bioeffects mitral prosthesis ventricle cavitations

Evaluation Of Prosthetic Valve Function And Clinical Utility.

Evaluation of prosthetic valve function and clinical utility. www.slideshare.net

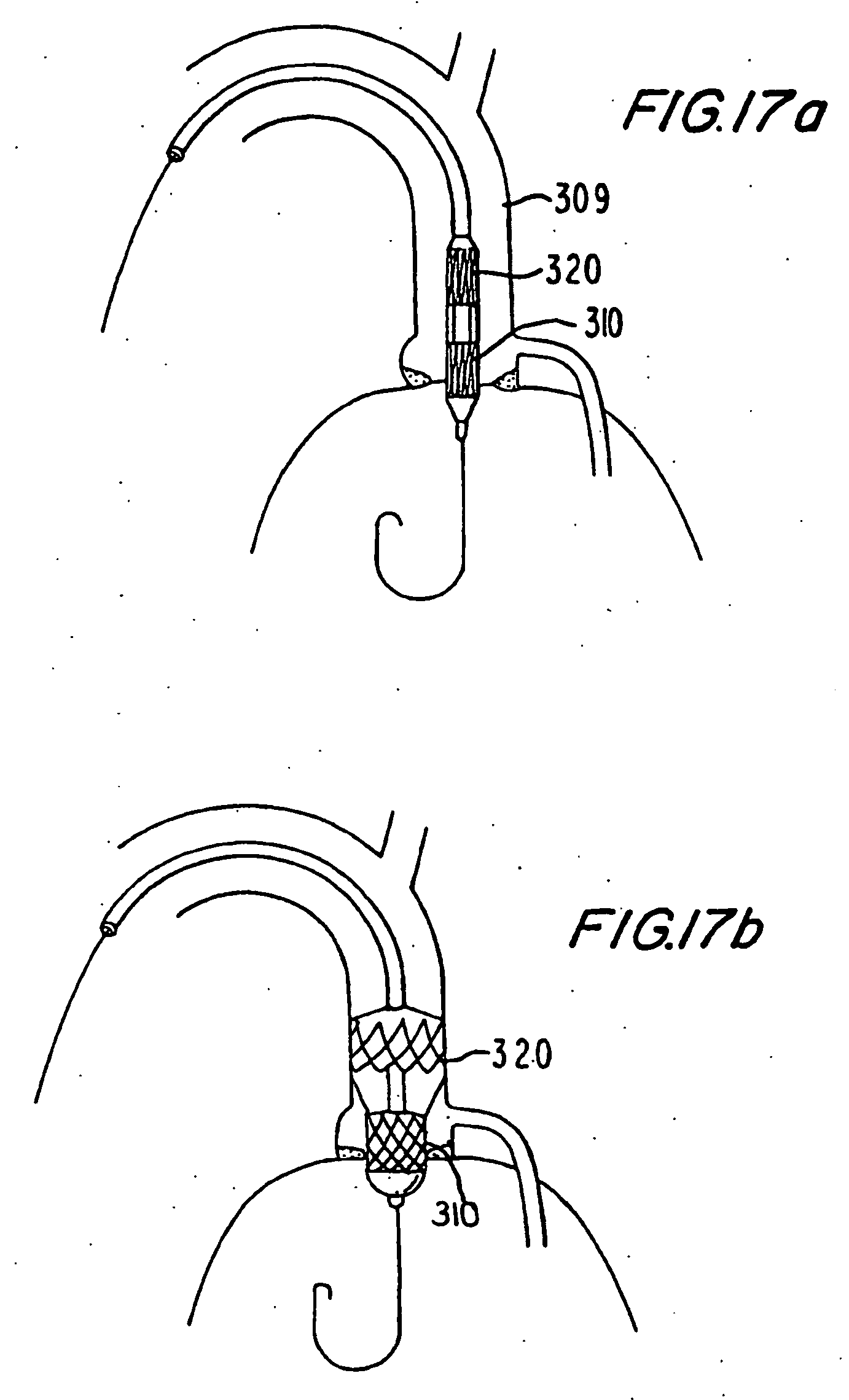
Brevet US20140052237 - Methods And Apparatus For Engaging A Valve

Brevet US20140052237 - Methods and apparatus for engaging a valve www.google.fr

brevets revendications

Prosthetic Valve Replacement

prosthetic valve replacement www.slideshare.net

prosthetic trileaflet

Progressive Breathlessness Following Transcatheter Aortic Valve

Progressive breathlessness following transcatheter aortic valve heart.bmj.com

valve aortic figure heart powerpoint tab open

Transcatheter Aortic Valve (TAVR) One-Year Outcomes Reported

Transcatheter Aortic Valve (TAVR) One-Year Outcomes Reported www.meddeviceonline.com

corevalve valve tavr aortic transcatheter medtronic replacement implantation medgadget trial fda speedy clinical aces approval gets core outcomes reported surgery

Patent US6068657 - Mechanical Valve Prosthesis With Optimized Closing

Patent US6068657 - Mechanical valve prosthesis with optimized closing www.google.de

patentsuche bilder

Patent US6685739 - Implantable Prosthetic Valve - Google Patents

Patent US6685739 - Implantable prosthetic valve - Google Patents www.google.ca

patents claims

Pregnancy Complicated By Prosthetic Valve Thrombosis - American College

Pregnancy Complicated by Prosthetic Valve Thrombosis - American College www.acc.org

valve prosthetic aortic doppler figure thrombosis complicated pregnancy across echocardiography

Prosthetic Valve Replacement

prosthetic valve replacement www.slideshare.net

prosthetic bioprosthetic xenograft homo

Evaluation Of Prosthetic Valve Function And Clinical Utility.

Evaluation of prosthetic valve function and clinical utility. www.slideshare.net

hepatitis

Prosthetic Mitral Valve Obstruction: Accurate Diagnosis By 3D

Prosthetic Mitral Valve Obstruction: Accurate Diagnosis by 3D www.youtube.com

valve 3d mitral transesophageal echocardiography prosthetic obstruction

Evaluation Of Prosthetic Valve Function And Clinical Utility.

Evaluation of prosthetic valve function and clinical utility. www.slideshare.net

prosthetic radiograph

Prosthetic Valve Thrombosis: Time Is Critical - For Medical

Prosthetic valve thrombosis: Time is critical - For Medical www.mayoclinic.org

valve prosthetic thrombosis mitral prosthesis mm critical medical mayoclinic

Patent EP2055266B1 - Implantable Prosthetic Valve - Google Patents

Patent EP2055266B1 - Implantable prosthetic valve - Google Patents www.google.co.uk

patents

Evaluation Of Prosthetic Valve Function And Clinical Utility.

Evaluation of prosthetic valve function and clinical utility. www.slideshare.net

prosthetic

Aortic Valve Replacement - Stock Image - M560/0105 - Science Photo Library

Aortic valve replacement - Stock Image - M560/0105 - Science Photo Library www.sciencephoto.com

valve aortic replacement science

Corevalve valve tavr aortic transcatheter medtronic replacement implantation medgadget trial fda speedy clinical aces approval gets core outcomes reported surgery. Valve prosthetic heart figure doppler bmj. Patent us6068657